A Hyrax palatal expander set inside a jaw model.

A Hyrax palatal expander set inside a jaw model.

When it comes to orthodontics, many know about the most common types of orthodontic treatment, like braces and aligners. But in recent years, the topic of palate expanders has gained much traction. For those who have yet to see an orthodontic team, questions like “What is a palate expander?” and “Why are so many kids getting palate expanders?” are common inquiries that don’t have to go unanswered. We want to help you learn more about this orthodontic treatment so you can make informed decisions for you or your family should you decide to pursue it. Keep reading to see answers to frequently asked questions on palate expanders.

​​
Dr. Simi Mathur (above) discusses palatal expanders on Instagram. Swipe and tap/click to play the series of videos.

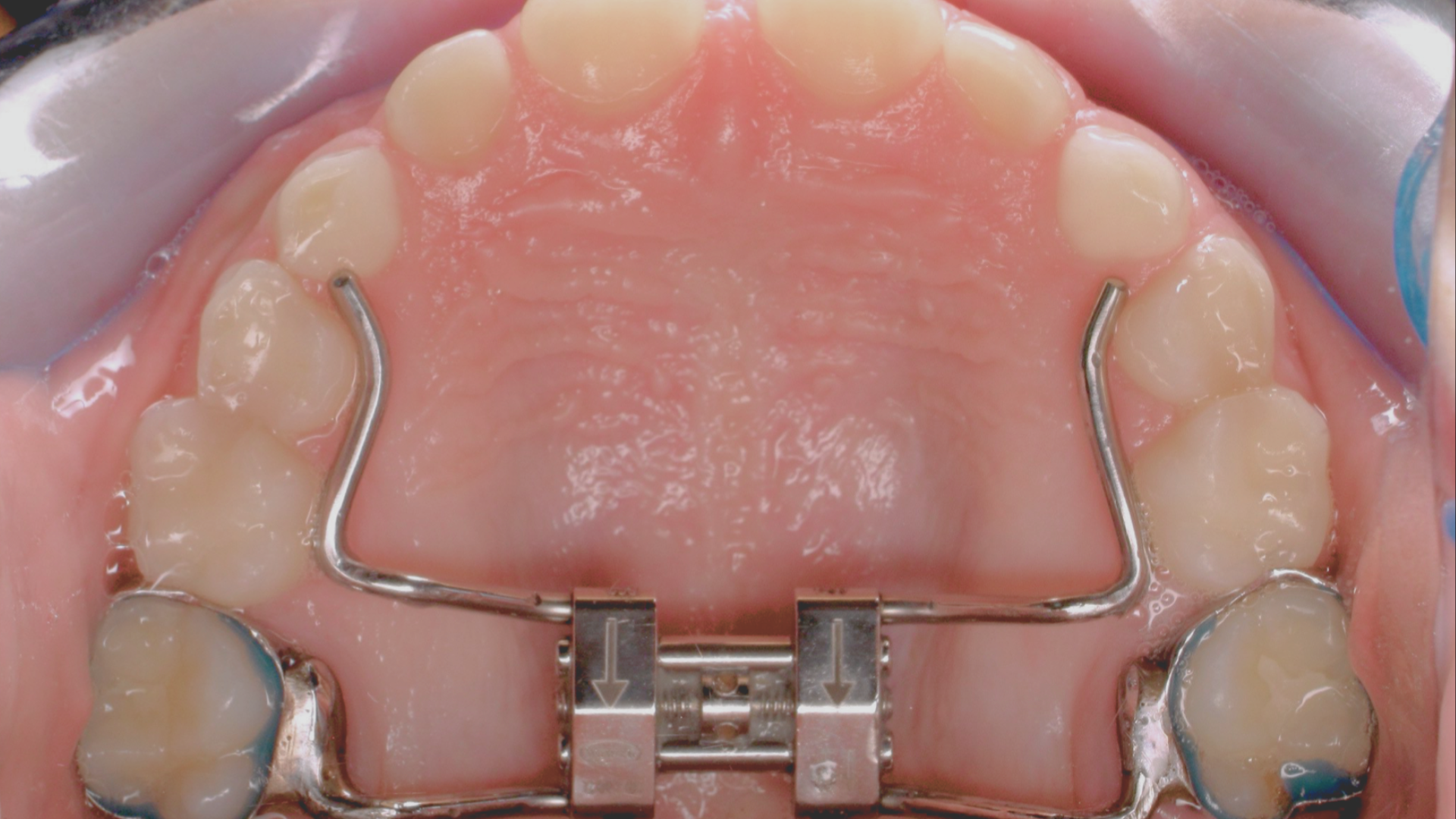
What is a palate expander? 

A palatal expander is an orthodontic tool used to expand the maxilla, also known as the “upper jaw.” The appliance can be made in several different ways, but it typically sits in the roof of the mouth and connects to the teeth. This orthodontic treatment is intended to expand a patient’s jaw that has been diagnosed as narrow to fix certain teeth placement conditions, including crossbite and crowding. Additionally, the use of a palate expander has been known to improve daily mouth-related functions, such as breathing and chewing, by reducing airway resistance.

How painful is getting a palate expander? 

A palate expander set inside the maxilla (upper jaw).

A palate expander set inside the maxilla (upper jaw).

For most people, the initial application of a palate expander involves no pain, but there is usually some initial discomfort due to the placement of the device. 

Getting palate expanders applied typically causes a low level of discomfort in the beginning stages and at each adjustment period, which usually fades within 24 -72 hours. If you have a palate expander and begin to experience excessive dental or oral pain, promptly notify your orthodontist or the dental office. 

Do palate expanders hurt? 

No, palate expanders do not hurt, although everyone has different tolerance levels when it comes to pain. After the initial application, the discomfort felt from the palate expander should lessen in the passing days. 

If at any time there is excessive pain beyond mild discomfort, contact your orthodontist or dental office immediately.

What is the best age for palate expanders? 

A child smiling with missing baby teeth.

A child smiling with missing baby teeth.

There is no right age to get a palate expander, but the typical age range of palate expander patients at Mathur & Taylor Orthodontics is from the ages of 7 - 11. This age range also falls under early orthodontic treatment, or orthodontics for children. For patients who have a recommendation for palate expanders, application early on (ideally during elementary school years) is better than waiting, as patients with adult teeth can expect extended treatment times. 

Dr. Simi Mathur (above) discusses palatal expanders on Instagram. Swipe and tap/click to play the series of videos.

Why are so many kids getting palate expanders? 

It would seem that more children are getting palate expanders in their orthodontic treatment plan than in years past, and while that may be true on a national level, palate expanders are not a new treatment type. The palate expander, as we recognize it today, dates back to the 1800s. Many patients and their families have started orthodontic consultations and evaluations when the patient is as young as 6 or 7. Because more parents are sending their children for evaluation earlier, orthodontists are recommending palate expanders during those early years, while those patients are still losing baby teeth. 

In previous decades, parents often waited until their child was in middle school or high school to receive their first orthodontic evaluation. By this time, most children already have all of their adult teeth and would automatically go into Phase II treatment. However, in recent years, many parents are sending their children for evaluations much sooner, so orthodontists and dental assistants can see any jaw narrowing much sooner. This means that any orthodontic work that would have been recommended and treated later can be treated sooner. This also includes using preliminary methods, like palate expanders. 

Do kids really need palate expanders? 

A group of adolescent friends smiling.

A group of adolescent friends smiling.

The short answer is no, kids do not need palate expanders in the sense that they are medically required. However, as previously mentioned, palate expanders can facilitate earlier orthodontic intervention and provide lasting results with greater efficiency. In other words, they can improve smiles and boost confidence much sooner. 

In conclusion, the topic of palate expanders is trending, and we hope this helped to answer some of your top questions on the subject. As always, the best way to know if orthodontic treatment, like palate expanders, could help you or your child is to consult an orthodontist and their team. If you’re in Abilene, Merkel, Sweetwater, or the surrounding cities in West Texas, we would be happy to meet with you to discuss your options. Whether you’re considering braces, aligners, palate expanders, or other orthodontic treatments for kids, teens, or adults, we can provide a personalized consultation to help you make the best choice. Call us at (325)695-0170 or contact us

This article was medically reviewed and verified by board-certified orthodontist and practice owner, Dr. Simi Mathur Martin. 

Previous
Previous

Dr. Simi Mathur Purchases Taylor Orthodontics; Becomes New Owner of Mathur & Taylor Orthodontics

Next
Next

What’s the Difference Between a Dentist and an Orthodontist?